Entenda o que é o derrame pleural, suas causas, sintomas, formas de diagnóstico e quando o quadro exige atenção imediata.
Ao receber o diagnóstico, é natural que muitas pessoas perguntem imediatamente: derrame pleural é grave? A dúvida é comum e totalmente compreensível. O derrame pleural é o acúmulo anormal de líquido entre as pleuras, membranas que recobrem os pulmões. Dependendo da causa e da quantidade de líquido, o quadro pode variar de leve a potencialmente perigoso. Neste conteúdo, explicamos de forma objetiva o que significa ter esse problema, quando ele representa risco e como é feito o tratamento.
Entre em contato e agende uma consulta!
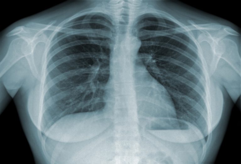
O que é derrame pleural?
O derrame pleural ocorre quando há um desequilíbrio entre a produção e a absorção do líquido pleural, levando ao acúmulo dentro do espaço pleural. Esse líquido pode apresentar diferentes características, como ser seroso, purulento, sanguinolento ou rico em proteínas, e cada tipo aponta para causas distintas. Quanto maior o volume acumulado, maior a dificuldade do pulmão em expandir adequadamente.
Quais os sintomas?
A pergunta “derrame pleural é grave?’’ costuma surgir, muito em decorrência dos seus sintomas. Dentre os mais comuns, podemos elencar:
- Falta de ar crescente;
- Dor no peito ao respirar fundo;
- Tosse seca;
- Sensação de peso no tórax;
- Dificuldade intensa de respirar em quadros volumosos.
O que causa derrame pleural?
As causas são variadas. O derrame pleural pode surgir em decorrência de infecções respiratórias, incluindo pneumonias, insuficiência cardíaca, doenças renais ou hepáticas, tumores que atingem o pulmão ou a pleura, doenças autoimunes, como lúpus, traumas no tórax; ou ainda, complicações após cirurgias.
Cada uma dessas condições pode influenciar o grau de risco, por isso entender se derrame pleural é grave depende diretamente da origem do problema.
Derrame pleural é grave?
A gravidade varia conforme a causa, a velocidade de acúmulo do líquido e o impacto na respiração. Em muitos casos, especialmente quando associado a doenças controláveis, o tratamento é eficaz e o prognóstico é positivo.
Porém, quando o derrame está ligado a infecções severas, tumores, insuficiência cardíaca descompensada ou causa dificuldade respiratória importante, a situação inspira mais cuidado. É nesses cenários que reforçamos que o derrame pleural é grave, pois pode comprometer de forma relevante o funcionamento pulmonar e indicar uma doença de base mais séria.
Quando o derrame pleural é considerado grave?
Ele é considerado grave quando o acúmulo de líquido é volumoso e gera falta de ar intensa, quando o conteúdo é purulento e indica infecção importante, quando há sangue em grande quantidade, quando está associado a câncer ou quando comprime significativamente o pulmão.
Também é grave quando ocorre em pacientes com outras doenças que aumentam o risco de descompensação. Nessas situações, não há dúvida de que derrame pleural é grave, exigindo avaliação e intervenção imediata. Procure, de imediato, orientação médica.
Diagnóstico
O diagnóstico é feito com base no exame físico, radiografia, tomografia, ultrassom de tórax e, principalmente, na toracocentese, que consiste na retirada de parte do líquido para análise laboratorial.
Esse estudo identifica sinais de infecção, células tumorais, presença de proteínas e outras informações que ajudam a compreender a causa do problema. É a análise do líquido que muitas vezes confirma se o derrame pleural é grave, já que revela diretamente a natureza da doença associada.
Tratamento do derrame pleural
O tratamento depende da causa. Pode envolver antibióticos para infecções, diuréticos nos casos ligados à insuficiência cardíaca, drenagem pleural para remover o líquido acumulado, cirurgia torácica quando há complicações como empiema ou espessamento pleural, além de terapias específicas quando o derrame está ligado a tumores. Quando o quadro evolui rapidamente ou causa falta de ar importante, reforça-se que o derrame pleural é grave e precisa de atendimento especializado para evitar complicações.
A TxTórax oferece suporte completo para diagnóstico e tratamento, atendendo pacientes de diferentes perfis e necessidades, sempre com clareza, acolhimento e excelência técnica, especialmente nos momentos em que o derrame pleural é grave e exige cuidado imediato.
Fontes:


